Hallux Vagus

Hallux valgus ist eine Deformität des Großzehenballens, die zu Schmerzen, Schwellungen und eingeschränkter Beweglichkeit führt, oft durch eine Fehlstellung im Fuß verursacht. Behandlungsoptionen reichen von Schuhauflagen und orthopädischen Schuhen bis hin zu chirurgischen Eingriffen, abhängig von der Schwere der Symptome.

Christopher Lenz bei der Behandlung

Hallux Valgus im Überblick

Fuss von der Seite
1

Ursachen von Hallux valgus


Eine genetische Veranlagung kann dazu führen, dass die Zehen verdrehter sind, was die Wahrscheinlichkeit erhöht, an Hallux valgus zu erkranken. Das Tragen von engen, unpassenden Schuhen oder Schuhen mit hohen Absätzen kann auch dazu beitragen, dass der Zeh in eine falsche Position gedrückt wird.

Untersuchung der Zehen
2

Symptome von Hallux valgus

Symptome können von Schmerzen, Schwellungen, Entzündungen und Rötungen im Bereich des Großzehengrundgelenks bis hin zu Einschränkungen der Beweglichkeit reichen.

3

Diagnose und Behandlung von Hallux valgus

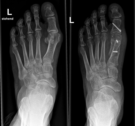
Sehr viel häufiger sind Frauen von der Fehlstellung betroffen. Die Diagnostik der Fehlstellung besteht aus der klinischen und radiologischen Untersuchung, wobei für letzteres in den allermeisten Fällen ein einfaches Röntgenbild im Stehen in zwei Ebenen genug Informationen bietet, um die weitere Therapie zu planen. Es werden hier das Ausmass der Deformität und das Vorhandensein von Arthrose beurteilt.

Vor einer Operation sollten die konservativen, also nicht-operativen Behandlungsoptionen ausgeschöpft werden. Hier insbesondere eine korrekte Schuhauswahl, Einlagen, ggf. Physiotherapie, seltener Schienen. Eine Korrektur der Fehlstellung kann jedoch nur chirurgisch erfolgen und sollte in Betracht gezogen werden, wenn der Leidensdruck trotz konservativer Massnahmen ausgeprägt ist. Die Wahl der Operationstechnik ist abhängig von dem Schweregrad der Deformität und reicht von minimal-invasiven (perkutanen) Korrekturen über offene gelenkerhaltende Verfahren bis hin zu korrigierenden Arthrodesen. Das Ziel der Operation ist die Grosszehe in die korrekte Position zu bringen, Bänder und Sehnen so neu auszurichten und zu straffen und den knöchernen Überstand abzutragen.

Hallux Valgus Behandlung in Ortho Clinic Zürich
4

Nachbehandlung

Nach der Operation muss für sechs Wochen ein spezieller Verbandsschuh getragen werden, in dem vollbelastet werden darf. Gehstöcke sind am Anfang empfehlenswert, aber nicht zwingend notwendig. Zudem sollte während dieser Zeit ein spezieller Verband der Grosszehe erfolgen, der aber selbständig von den Patientinnen und Patienten anzulegen ist.

Arzt schreibt Bericht
5

Fazit zur Behandlung von Hallux Vagus

Ein Hallux valgus kann schmerzhaft und einschränkend sein, aber es gibt viele Behandlungsoptionen, die helfen können und ich bespreche gerne mit Ihnen in Ruhe und ausführlich die für Sie optimale Therapie, um Ihre Beschwerden zu lindern.