Arthrose des Knie-Gelenks

Arthrose des Knies, auch als Kniegelenksarthrose bekannt, ist eine degenerative Erkrankung, die durch den Verschleiß des Knorpelgewebes im Kniegelenk gekennzeichnet ist. Dies kann zu Schmerzen, Steifheit und eingeschränkter Beweglichkeit führen und die Lebensqualität erheblich beeinträchtigen.

Ursachen, Symptome und Behandlung der Arthrose im Knie-Gelenk

Ursachen der Kniearthrose

Die Entstehung einer Kniearthrose kann durch verschiedene Faktoren beeinflusst werden, darunter Alterung, genetische Veranlagung, Übergewicht, frühere Verletzungen des Kniegelenks, Überlastung durch bestimmte Sportarten oder berufliche Tätigkeiten und entzündliche Erkrankungen wie rheumatoide Arthritis.

Symptome der Kniearthrose

Die Symptome einer Kniearthrose können Schmerzen, Schwellungen, Steifheit, Knirschen oder Reiben im Gelenk, eingeschränkte Beweglichkeit und Instabilität umfassen. Diese Symptome können sich im Laufe der Zeit verschlimmern und die Alltagsaktivitäten beeinträchtigen.

Möglichkeiten der Therapie ohne Operation

Für viele Patienten können nicht-operative Behandlungsmöglichkeiten eine effektive Option sein. Dazu gehören Physiotherapie, Gewichtsmanagement, entzündungshemmende Medikamente, Schmerzmittel, Akupunktur, Kniebandagen und spezielle Übungen zur Stärkung der Muskulatur um das Kniegelenk herum.

Therapie mit Infiltrationen

In einigen Fällen kann eine Injektion von Medikamenten direkt in das Kniegelenk (Infiltration) helfen, Schmerzen und Entzündungen zu lindern. Typischerweise werden dabei entzündungshemmende Medikamente wie Kortison oder Hyaluronsäure verwendet. Eine weitere Option ist die Infiltration mit Eigenblut, auch bekannt als autologe konditionierte Plasma-Therapie (ACP), die darauf abzielt, die Heilung im Gelenk zu fördern.

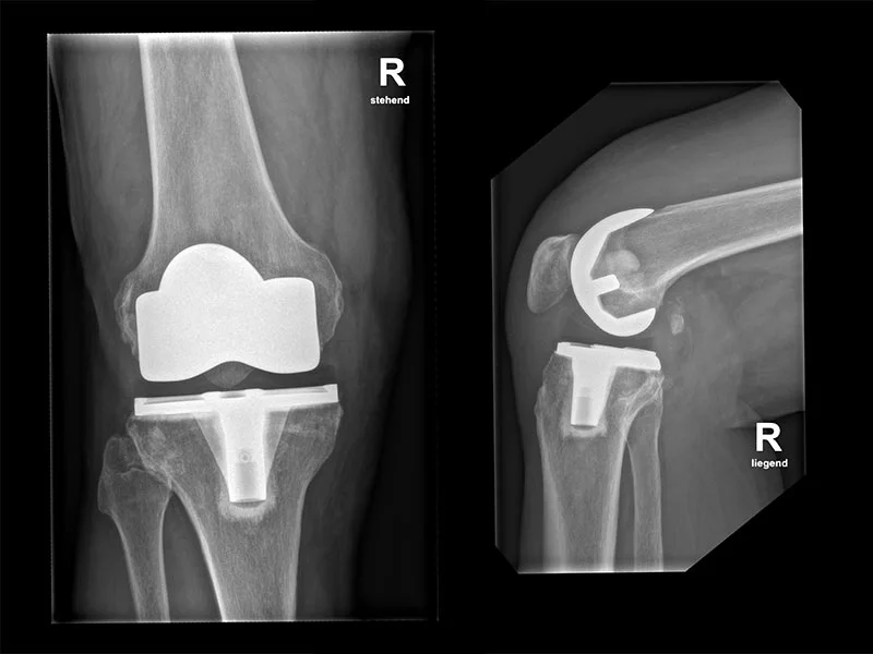
Operative Therapie

Wenn nicht-operative Behandlungen keine ausreichende Linderung bieten, kann eine Operation erforderlich sein. Zu den gängigen operativen Verfahren gehört v.a. die Kniegelenksprothese. In manchen Fällen, z.B. bei ausgeprägtem O- oder X-Bein, kann eine Begradigung der Beinachse («Umstellungs-Osteotomie») zur Anwendung kommen.
Die Auswahl der geeigneten Operationstechnik hängt von verschiedenen Faktoren wie dem Grad der Arthrose, der Anatomie des Patienten und den individuellen Bedürfnissen ab. Neben der oben erwähnten Begradigung der Beinachse gehören die Teilprothese und die Totalendoprothese zu den gängigen Operations-Techniken.

Nachbehandlung nach künstlichem Kniegelenk

In der Regel ist nach Einbau eines künstlichen Knie-Gelenks eine Belastung mit vollem Körpergewicht möglich. Für die Dauer von 4-5 Wochen sollten aber zur Unterstützung Unterarm-Gehstöcke verwendet werden. Die Nachbehandlung nach einer Kniegelenksprothesenimplantation beinhaltet primär intensive Physiotherapie, wobei vor allen Dingen das regelmässige Training in der Häuslichkeit wichtig ist. Das Knie toleriert im Verlauf zunehmend mehr Belastung. Nach 3 Monaten kann sogar unterstützendes Kraft-Training unter physiotherapeutischer Kontrolle empfohlen werden.

Haltbarkeit der Knie-Prothese

Die Haltbarkeit einer Knieprothese kann von verschiedenen Faktoren abhängen, einschließlich des Alters und der Aktivitätsniveaus des Patienten sowie der Qualität der Operation. In der Regel kann eine Knieprothese zwischen 15 und 25 Jahren halten, bevor möglicherweise ein Prothesenwechsel erforderlich ist.

Sport mit künstlichem Kniegelenk

Nach einer erfolgreichen Rehabilitation ist die Ausübung verschiedener Sportarten mit einem künstlichen Kniegelenk möglich. Dazu gehören Schwimmen, Radfahren, Wandern, Golfen und viele andere Aktivitäten. Für sehr Aktive ist jedoch auch die Rückkehr zu anspruchsvollerem Sport wie Tennis oder Alpin-Skifahren möglich.

Insgesamt erfordert die Behandlung der Kniearthrose eine sorgfältige Evaluation, eine individuelle Therapieplanung und eine kontinuierliche Betreuung, um bestmögliche Ergebnisse für unsere Patientinnen und Patienten zu erzielen.