Instabilität der Schulter

Eine Instabilität der Schulter kann sich in eine bestimmte Richtung entwickeln (nach vorne oder hinten) oder auch multidirektional sein, d.h. die Schulter ist in viele Richtungen instabil. Eine unbehandelte Instabilität führt nicht nur zur Einschränkung der Lebensqualität, sondern kann auch langfristig eine Arthrose des Gelenkes zur Folge haben.

Ursachen und Therapie der Instabilität in der Schulter

Die Gründe einer Instabilität sind vielfältig

- Folge eines Unfalles
- Selbst auslösbare (d.h. voluntäre) Luxation
- Dysbalance der Muskeln
- Begleitende Hyperlaxität (Überbeweglichkeit) der Gelenke

Entsprechend differenziert muss die Therapie sein in Anbetracht aller Faktoren, die zur Instabilität führen.

Vordere (anteriore) Instabilität

Dies ist die häufigste Form der Instabilität. Zur Behandlung der anterioren Instabilität müssen folgende Ursachen berücksichtig werden:

a) Alter des Patienten
Ein Alter unter 20 Jahren hat ein deutlich erhöhtes Risiko für ein erneutes Ausrenken (Luxieren) der Schulter. Ab einem Alter von 25 Jahren nimmt das Risiko einer Reluxation deutlich ab.


b) Anzahl der erfolgten Luxationen
Bei einem erstmaligen Ausrenken der Schulter kann eine nicht operative Therapie in einem sogenannten Itoi-Brace durchgeführt werden. Der Arm wird in einer «Grüezi-Stellung» für 6 Wochen fixiert. Bei konsequenter Anwendung kann das Reluxationsrisiko gesenkt werden.

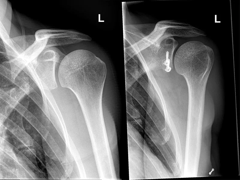
Ab zwei bis drei erfolgten Luxationen ist das Stadium einer chronische Instabilität erreicht. Mit konservativen Massnahmen kann hier keine Besserung erwartet werden. Mit Anpassung der sportlichen Tätigkeit kann das Risiko der Reluxation vermindert werden, jedoch nicht relevant verbessert werden. Deshalb bleibt die operative Therapie nur noch als letzte Option. Hier kommt vor allem ein Korakoidtransfer (Operation nach Latarjet) zum Zug. Dazu wird der Rabenschnabelfortsatz (Korakoid) an die Gelenkspfanne mit Schrauben fixiert. Die Resultate dieses Eingriffs sind sehr gut.

c) Verletzungen an den Gelenkstrukturen
Bei jeder Luxation kommt es zur Verletzung der vorderen Bandstrukturen (sogenannte Bankart-Läsion) wie auch einer Impressionsfraktur am Oberarm (sogenannte Hill-Sachs Läsion). Weiterhin kann es auch zu einer Fraktur der Gelenkspfanne kommen.

Ist die Hill-Sachs-Läsion klein und eine isolierte Verletzung der Bänder vorhanden, kann eine arthroskopische Refixation der Bänder in Erwägung gezogen werden. Ist jedoch ein Defekt der Pfanne vorhanden, kommt der Korakoidtransfer zum Zug.

Ab einem Alter von 50 Jahren kann es auch zu Riss der Sehnen der Schulter, der sogenannten Rotatorenmanschette, führen. Dies muss bei der Behandlung mitberücksichtigt werden.


d) Sportliche Ansprüche des Patienten
Werden vor allem Kontaktsportarten (Kampfsport, Volleyball, Handball, Fussball) auf hohem Niveau gespielt, muss eher die operative Therapie in Betracht gezogen werden.

Posteriore Instabilität

Die ist eine seltene Form der Instabilität. Sie kann auch im Rahmen einer neurologischen Erkrankung (Epilepsie) in Erscheinung treten oder auch als Folge eines Unfalles.

Auch hier spielen die Begleitverletzungen eine Rolle. Es sind die umgekehrte Hill-Sachs-Läsion (vordere Impressionsfraktur des Humerus) und die Bänderverletzung (Labrumläsion).

Auch hier kommt zuerst die nicht-operative Therapie zum Zug. Erst beim Versagen dieser Therapie können operative Methoden (arthroskopische Fixation der Bänder, Knochenblock) angewendet werden.
e Kombination von umgekehrter Prothese mit Sehnenverlagerung.

Spezialist für Schulter & Ellenbogen